치아 사이의 근위 충치 치통 통증 구강 질환 치료

치아 사이에 충치가 있습니다. 근위 우식증은 일종의 구강 질환이므로 정기적으로 양치질을 하는 것이 좋습니다.

치과 치료를 받는 것은 연령에 관계없이 매우 일반적입니다. 특히 2~3년 전 건강보험심사평가원에 따르면 유병률 12%의 구강질환을 의미한다. 그렇기 때문에 정기적인 검진을 통해 건강을 유지하는 것이 바람직합니다. 이처럼 양치질을 하거나 거울을 보면서 입을 관찰할 수 있는 기회가 있다. 이 시점에서 앞니 사이에 명확하게 보이는 충치를 찾을 수 있습니다.

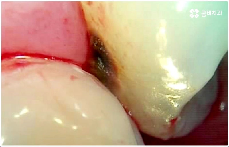
#症牙# 인접치아우식증 그러나 인접치아가 서로 맞닿아 우식에 영향을 미치게 되면 자신도 모르게 진행되어 증상을 유발할 수 있습니다. 또한 육안으로 확인이 쉽지 않기 때문에 무시하는 분들도 적지 않습니다. 따라서 상태가 악화되어 통증을 유발한다면 치료 과정이 더욱 복잡해질 수 있습니다. 그렇기 때문에 치아 사이의 충치는 세심한 관찰이 필요합니다. 특히 치석은 양치질을 잘 해도 치관 주변에 쌓이게 됩니다.

이때는 치간칫솔이나 치실을 사용하는 것이 좋을 수 있습니다. 또한 6개월에서 1년 주기로 정기적인 스케일링을 권장합니다. 치통이 있거나 치통 증상이 있는 경우에는 치과에 내원하여 구강 검진과 함께 의료진과 상담하여 적절한 치료를 받는 것을 권해 드립니다.

치간우식증과 근위우식증이란?

양분을 씹어먹고 치석이 쌓이면서 치아 사이에 충치가 생기는 것을 볼 수 있습니다. 이 시점에서 증상 부위가 하나가 아니라 두 개의 영구 치아에 영향을 미치고 있음을 알 수 있습니다. 이 과정에서 신경 조직과의 근접성으로 인해 다양한 문제가 악화될 수 있습니다. 그렇기 때문에 적절한 시기에 치료가 이루어져야 합니다. 그렇지 않으면 근위부 우식증이 내부 조직으로 확장되어 자연 치아 기능이 상실될 수 있습니다.

관리하기 어려운 위치에 있기 때문에 찾기가 어렵습니다. 특히 치아의 외측은 법랑질로 이루어져 있습니다. 여기 구조도를 보면 헤드가 두꺼워진 것을 알 수 있습니다. 하지만 그에 반해 옆구리는 가늘고 신경에 가까워 취약하다는 것을 보여준다. 특히 어금니 뿐만 아니라 앞니에 해당하는 앞니와 송곳니에도 발생할 수 있습니다. 따라서 앞니 사이의 충치는 두 개 이상의 치아와 인접해 있는 경우가 많기 때문에 치료를 위해서는 두 개의 치아도 필요하다. 그러나 점진적으로 발달하므로 초기 단계에서 발견하기 어려울 수 있습니다. 앞으로 치아우식증이 생기면 그 문제를 모르는 분들이 적지 않습니다. 근위부 우식 수술의 어려움은 상상할 수 있습니다 손상된 치질을 제거하는 것이 어렵고 치료가 어려운 것은 의심의 여지가 없습니다. 그래서 교합면에서 윗부분으로 삭제된 글자 모양의 와동을 볼 수 있습니다. 특히 벽의 한쪽이 제거된 것을 볼 수 있습니다. 여기서 단순히 레진으로 채우면 씹는 힘을 견디지 못하고 떨어질 수 있습니다. 그래서 우리는 모델을 금이나 단단한 레진으로 만듭니다. 이렇게 제작된 보철물은 서로 접착되어 원래의 기능을 회복하는 것을 볼 수 있습니다. 그러나 앞니 사이의 충치가 넓지 않은 경우에는 부분적 제거 후 레진으로 채우는 것으로 볼 수 있습니다. 감기 증상과 통증이 황금 시간대에 발생하면 근관을 점차적으로 청소해야 할 수 있습니다. 즉, 신경을 제거하고 자연치아를 보존하기 위해서는 크라운을 만들어 치아 전체를 덮어야 합니다. 언제 Zoom을 받았습니까? 건강 보험 신청 및 비용을 살펴보겠습니다. 치근 근처의 치석이나 치태를 제거하는 시술일 수 있습니다. 이것은 잇몸의 질병이나 염증을 예방하는 데 도움이 됩니다. 즉, 19세 이상이면 누구나 1년에 한 번 줌을 돌보고 보험에 가입할 수 있다. 그리고 매년 1월 1일에 갱신됩니다. 그러나 비용이 건강 보험으로 보장되는 경우에도 차이가 있을 수 있습니다. 특히 병원이나 의원의 종류에 따라 비용이 달라지거나 주말 및 야간진료에 따른 추가비용이 발생할 수 있습니다. 또한 치료 전에 엑스레이를 특별히 촬영했는지 여부에 따라 추가 요금이 부과됩니다. 하지만 치과에 장기간 내원하시거나 흡연이 재발하는 경우에는 정밀진단을 받으시는 것을 권해 드립니다. 건강한 영구치는 습관으로 지켜야 합니다. 일반적으로 양치질을 할 때 이를 닦는 사람들이 적지 않다. 그래서 닿는 면이 잘 닦이지 않습니다. 따라서 치실을 사용하면 달라붙는 세균 덩어리와 이물질을 제거하기 위해 만지는 표면을 쓸어내는 것입니다. 따라서 건강하고 깨끗한 구강을 유지하기 위해서는 보조적인 제품을 적극 권장한다. 또한 질병의 증상이 없더라도 초기에 발견할 수 있기 때문에 3~6개월마다 치료를 받는 것이 가장 좋다. 치석과 플라그는 씹는 영양분으로 인해 치아 사이에 충치를 유발합니다. 점차 병이 악화되고 치주질환까지 발생하게 되어 조직손상을 일으킬 뿐만 아니라 점차적으로 치아가 흔들리게 되므로 정기적으로 세안하고 체크하는 것이 유익합니다. 특히 수술 후에는 스스로 관리가 필요하다는 사실을 잊지 마세요. 즉, 서로 맞닿아 있는 마주보는 인접면에 우식이 발생할 수 있다. 따라서 치실과 치간칫솔을 계속 사용해야 합니다. 라온치과병원 대구광역시 수성구 동대구로 312 범머림타워 8층, 9층, 11층 이전 이미지다음 이미지이전 이미지다음 이미지